Build a Better Brain: How to Grow Grey and White Matter

Dr. Greg Wells

 

Optimizing the functioning and growth of your brain is essential to your performance and health. In particular, it’s important to understand the role of two kinds of tissues – white matter and grey matter – and how you can make them grow. You can see the different brain tissues in this MRI image:

Brain.png

© Greg Wells Ph.D. 2012

Grey matter is the part of your brain that processes information and contains all of the neuronal cells in your brain. For everything from emotion to sensory perception and memory, grey matter is where the action takes place. White matter is the part of your brain that connects all of the grey matter nodes together.

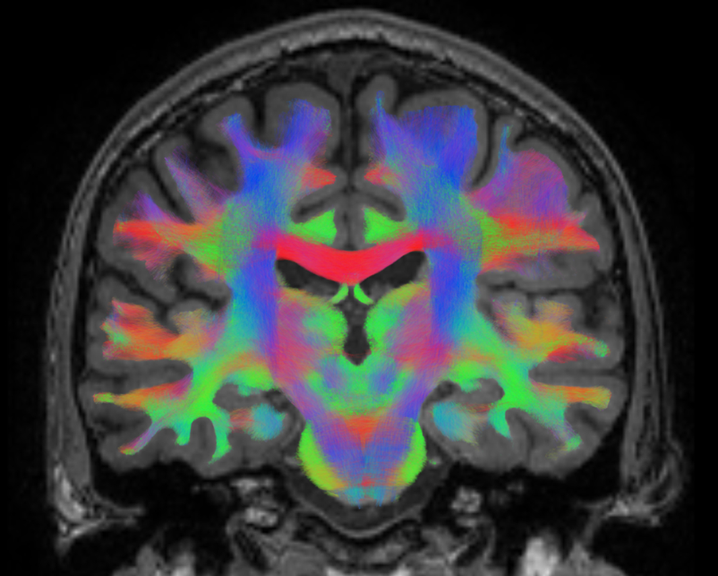
We can use another type of MR imaging to see the white matter tracts in the brain and how they connect the different brain regions together:

Brain 2.png


From: https://phys.org/news/2014-06-esa-image-space-brain-networking.html

It’s a lighter colour because there is myelin protecting all of the nerves there, like bark on a tree. Here’s a CGI image of a neuron with myelin sheathing around the axon that connects the neurons in the brain:

Brain 3.png

© The Wells Group Inc. 2016.

If your brain were a transit system, the grey matter would be the stations and the white matter would be the tracks. You can improve the functioning of your brain by bulking up the processing centres and improving the efficiency of transmission between nodes. Basically, you can enable the trains of your mental transit system to hold more, travel faster and leave more often.

Here’s how to do it.

Grey matter has been shown to respond beautifully to meditation through the release of a protein called BDNF (brain-derived neurotrophic factor), which stimulates the growth and protection of neurons in your brain. Regular meditation equals improvements in information processing.

White matter, on the other hand, responds mainly to a steady diet of healthy fats, because brain matter is made up of fats. If you are out for dinner, dump dark green olive oil all over your meal. Or go for other sources of wonderful fats: cold water fish, organic nut butters, coconut and avocados. Or shellfish, omega-3, eggs, cod liver oil, flax seeds, chia seeds, and hemp seeds. That white matter boost will improve the transmission of signals across your brain.

Meditation to grow grey matter, healthy fats to improve white matter. Speed up transmission, improve processing. Achieve optimal health and performance.

 
Greg Wells PhD

For Dr. Greg Wells, health and performance, particularly under extreme conditions, are personal and professional obsessions. As a scientist and physiologist, he has dedicated his career to making the science of human limits understandable and actionable. Dr. Wells has spoken to audiences all over the world at events such as TEDx and The Titan Summit, where he has shared the stage with Robin Sharma, Richard Branson, Steve Wozniak and Deepak Chopra.

For over 25 years, Dr. Wells has worked with some of the highest-performing individuals on the planet, including Olympic and World champions, and with organizations ranging from General Electric to BMO, Deloitte, KPMG, BMW, Audi, Sysco Foods, YPO and Air Canada. He is also committed to inspiring children and young adults through his close working relationship with school boards and independent schools.

A veteran endurance athlete, Dr. Wells has participated in the grueling Nanisivik Marathon 600 miles north of the Arctic Circle, Ironman Canada and the Tour D’Afrique, an 11,000 km cycling race that is the longest in the world. He is also a travel and expedition adventurer who has journeyed through every imaginable terrain and conditions in over 50 countries around the world.

Dr. Wells is author of three best-selling books – Superbodies, The Ripple Effect, and The Focus Effect – and hosted the award-winning Superbodies series, which aired on Olympic broadcasts worldwide in 2010 and 2012.

Dr. Wells has a PhD in Physiology, served as an Associate Professor of Kinesiology at the University of Toronto and is an exercise medicine researcher at the Hospital for Sick Children in Toronto.

He is the CEO and founder of The Wells Group, a global consulting firm committed to achieving the moonshot of helping teams, schools and businesses become places where people get healthy, perform optimally and ultimately - reach their potential.

http://www.drgregwells.com
Previous
Previous

A Simple Protocol to Help you Sleep Better

Next
Next

FINDING THE JOY IN EXERCISE